Onze behandelingen en operaties
Ontdek onze behandelingen en operaties, gericht op veilige, doeltreffende zorg en optimale resultaten, met aandacht voor elke stap van het zorgtraject.
Hand
Carpal tunnel syndroom
Wat is het?
Carpaal tunnel syndroom ontstaat door een beknelling van de nervus medianus in de pols. De zenuw loopt samen met negen buigpezen door een nauwe tunnel. Zwelling van pezen of bindweefsel kan de zenuw onder druk zetten. Veelvoorkomende oorzaken: overbelasting, reuma, diabetes, zwangerschap, menopauze en hormonale veranderingen.

Klachten
Typische symptomen:
- Tintelingen en gevoelloosheid in duim, wijs-, midden- en deel van ringvinger
- Klachten vooral ’s nachts of ’s ochtends
- Pijn die kan uitstralen naar de onderarm
- Verergering bij activiteiten zoals autorijden, fietsen of telefoneren
- Krachtsverlies, dingen uit de hand laten vallen
- Soms slinken van de duimmuis bij langdurige klachten
Behandeling
Afhankelijk van ernst en duur van de klachten:
Niet-chirurgische opties
- Nachtspalk om de pols gestrekt te houden
- Cortisone-infiltratie om de zwelling tijdelijk te verminderen
Operatie
- Als klachten ernstig of aanhoudend zijn, kan een carpale tunnel release worden voorgesteld
- Uitgevoerd onder lokale of locoregionale verdoving, in dagchirurgie
- Het carpale ligament wordt doorgenomen om ruimte te creëren
- Gebeurt onder loupevergroting om veilig en nauwkeurig te werken

Nabehandeling
- Tintelingen verdwijnen meestal onmiddellijk
- Gevoelloosheid in vingertoppen kan trager herstellen
- Minder gunstige factoren: langdurige klachten, duimmuisspierverlies, hogere leeftijd, diabetes
- Eerste 24–48 uur: hand hoog houden
- Vroege vingeroefeningen zijn belangrijk
- Het litteken kan 3–4 maanden gevoelig blijven
- Tijdelijk krachtsverlies is normaal
Springvinger (Triggerfinger)
Wat is het?
Een springvinger ontstaat wanneer een buigpees niet meer vlot door de peesschede glijdt door zwelling/ontsteking aan de basis van de vinger. Hierdoor blokkeert de vinger tijdens het bewegen.

Klachten
- Pijn en soms zwelling aan de basis van de vinger of duim
- Een klik- of springgevoel bij buigen of strekken
- Soms blokkeren in geplooide stand
- Moeilijk volledig strekken of plooien
Behandeling
Niet-chirurgisch
- Cortisone-infiltratie in de peesschede om zwelling en pijn te verminderen
Chirurgisch
- Kleine ingreep in dagziekenhuis, onder lokale of locoregionale verdoving
- Het vernauwde deel van de peesschede wordt geopend zodat de pees weer vrij glijdt

Nabehandeling
- Meteen bewegen na de ingreep om verklevingen te voorkomen
- Wonde 10–14 dagen droog en proper houden
- Na het verwijderen van de hechtingen: hand weer normaal gebruiken
- Tijdelijke zwelling of stijfheid is normaal
- Regelmatig stretchen blijft belangrijk
- Soms korte kinesitherapie voor littekenzorg en mobiliteit
Duimbasisartrose
Wat is het?
Bij duimbasisartrose slijt het kraakbeen in het gewricht tussen het os trapezium en de eerste metacarpaal. Hierdoor bewegen de botten niet meer soepel en ontstaat pijn.

Klachten
- Pijn en zwelling, vooral bij pincetgreep en draaibewegingen
- Verminderde kracht bij pincetgreep
- In gevorderde stadia: Z-stand of verstijving van het gewricht
Behandeling
Conservatief
- Activiteiten aanpassen
- Pijnstillers / ontstekingsremmers
- Duimbrace ter ondersteuning
- Cortisone-infiltratie voor tijdelijke ontstekingsremming
Chirurgisch
- Bij gevorderde artrose of blijvende klachten:
- Duimbasisprothese
- Snelle revalidatie
- Goede pijnverlichting en beweeglijkheid
- Kans op loslating/slijtage is klein
- Indien een prothese niet mogelijk is:
- Andere technieken zoals een Burton-Pellegrini, andere prothesetypes of artrodese
- Ingrepen gebeuren ambulant, meestal onder plexusverdoving

Nabehandeling
- Onmiddellijk na de ingreep: gipsspalk
- Enkele dagen later: wondcontrole en verzorging
- Immobilisatie gedurende ± 2 weken (gips of brace)
- Daarna starten met mobilisatie
- Na 6 weken: meestal goede beweeglijkheid
- Volledig herstel en krachtopbouw: ongeveer 3 maanden
Vingerartrose
Wat is het?
Bij vingerartrose slijt het kraakbeen van de hand- en vingergewrichten, meestal aan de eindkootjes (DIP), maar soms ook aan PIP- en MCP-gewrichten. Oorzaken kunnen zijn: vroegere letsels, overbelasting, doorgemaakte infectie, reumatische ziekten of erfelijke aanleg.

Klachten
- Pijn en zwelling in betrokken gewrichtjes
- Ochtendstijfheid
- Verminderde beweeglijkheid
- Beenderige verdikkingen
- Soms scheefstand van de vinger bij gevorderde artrose
Behandeling
Conservatief
- Activiteiten aanpassen
- Pijnstillers / ontstekingsremmers
- Brace op maat ter bescherming
- Cortisone-injectie ter verlichting
Chirurgisch
- Bij blijvende pijnklachten:
- Artrodese (het gewricht vastzetten)
- Prothese (gewrichtsvervanging)
Welke ingreep geschikt is, wordt individueel besproken. Operaties gebeuren in dagziekenhuis onder plexusverdoving.
Nabehandeling
- Bij artrodese: gewricht tijdelijk beschermen, 6 weken niet belasten
- Bij prothese: bewegen mag, maar geleidelijk opbouwen
Mucoïde cyste
Wat is het?
Een mucoïde cyste is een goedaardige zwelling gevuld met gewrichtsvocht. Ze staat in verbinding met het DIP-gewricht (het topje van de vinger), waar vaak al lichte artrose aanwezig is.

Klachten
- Druk op de nagelwortel, wat een groef of vervorming in de nagel kan geven
- Soms wordt de huid boven de cyste heel dun, met risico op huidperforatie en infectie
Behandeling
Niet zelf openprikken! De cyste komt snel terug en er is risico op een gewrichtsinfectie.
Operatie is aangewezen wanneer de cyste hinderlijk wordt of de huid te dun is.
De cyste en haar verbinding met het gewricht worden verwijderd onder lokale verdoving in het dagziekenhuis.
Bij ernstige artrose kan het DIP-gewricht eventueel in dezelfde ingreep worden vastgezet.

Nabehandeling
- Verband 14 dagen droog en proper houden
- Nagelgroei normaliseert meestal volledig
- Het litteken kan in het begin wat rood, gevoelig of verhard zijn
- Meteen bewegen van de vinger is toegestaan
- Stijfheid van het DIP-gewricht verbetert doorgaans snel met oefeningen
- Let op: cysten kunnen terugkomen
Ziekte van Dupuytren
Wat is het?
Bij de ziekte van Dupuytren ontstaat er een verdikking of streng in het bindweefsel van de handpalm. Deze streng kan de vingers geleidelijk naar binnen trekken, waardoor de hand niet meer volledig kan strekken. De ziekte is niet pijnlijk maar kan wel hinderen in het dagelijks functioneren. Ze komt vooral voor bij mensen met een genetische aanleg, vaker bij mannen, meestal vanaf 40 jaar.

Klachten
- Begin met een knobbeltje in de handpalm
- Later kan een strengevorming ontstaan die een buigstand van de vingers veroorzaakt
Behandeling
De ziekte zelf kan niet genezen worden, maar de buigstand (contractuur) van de vingers kan wel behandeld worden.
Wanneer behandelen?
Behandeling wordt aangeraden zodra de hand niet meer plat op tafel kan worden gelegd.
Chirurgie
- De Dupuytren-streng wordt verwijderd
- Dagopname, onder plexusverdoving
- Bij ernstige contracturen kan extra huid- of kapselverlenging nodig zijn
- Soms is een huidtransplantaat nodig wanneer de huid dun of verlittekend is

Nabehandeling
- 2–3 weken wondzorg
- Vingers zo snel mogelijk weer mobiliseren
- Soms een nachtspalk gedurende 3 maanden om de vingers gestrekt te houden
- Kinesitherapie kan nodig zijn bij stijfheid of hard littekenweefsel
- Revalidatie duurt meestal enkele maanden
Skiduim
Wat is het?
Een skiduim is een scheur van het gewrichtsbandje (ulnair collateraal ligament) aan de binnenzijde van de duim, ter hoogte van het MCP-gewricht. Dit gebeurt meestal door een slag of val waarbij de duim naar buiten klapt. Het letsel kan:
- Gedeeltelijk of volledig gescheurd zijn
- Soms met een stukje bot me afscheuren (beenderige skiduim)
- Soms onder een pees terechtkomen, waardoor het niet spontaan kan genezen (Stener-letsel)

Behandeling
Gedeeltelijke scheur (stabiel):
- Behandeling met een brace gedurende ± 4 weken
- Zwelling/pijn kan tot lange tijd aanhouden
Volledige scheur of botbreuk:
- Operatie binnen 14 dagen
- Het ligament wordt opnieuw vastgezet met een anker
- Bij botfragment: kleine pinfixatie
- Bij laattijdige diagnose kan een peesgreffe nodig zijn
- Ingrepen gebeuren via dagziekenhuis, meestal onder plexusverdoving

Nabehandeling
- Brace gedurende 4–6 weken
- Zwelling en stijfheid kunnen nog enkele maanden aanwezig zijn
- Soms kinesitherapie nodig
Malletvinger
Wat is het?
Een malletvinger ontstaat wanneer de strekpees van het laatste vingerkootje afscheurt — vaak door een gestrekte vinger te stoten. Soms breekt ook een klein stuk bot af (beenderige malletvinger).

Klachten
- U kan het topje van de vinger niet meer zelf strekken
- De vingertop hangt naar beneden
- Soms milde zwelling
- Meestal weinig pijn
Behandeling
Zonder botfragment (of klein fragment):
- Spalk in volledige strekstand, 24/7 gedurende 6–8 weken
- Het topkootje mag absoluut niet plooien, anders scheurt het herstelweefsel opnieuw
- Nadien geleidelijke mobilisatie
- Indien de pees opnieuw afscheurt → operatie (tenodermodese)
Met groter botfragment (≥ 1/3 van het gewricht):
- Operatieve fixatie met een pin
- In dagziekenhuis, meestal onder ringanesthesie

Nabehandeling
- Spalk consequent dragen (6–8 weken) en huid regelmatig controleren
- Bij operatie: uitwendige pinnetjes 6–8 weken, dagelijks ontsmetten en droog en proper houden
Peescyste
Wat is het?
Een peescyste is een goedaardige zwelling gevuld met gelachtig vocht. Ze komt vaker voor aan de buigzijde (palm) dan aan de strekzijde van de hand.

Klachten
- Een duidelijke, harde zwelling in de hand
Behandeling
Geeft de cyste last; dan wordt meestal gekozen voor chirurgische verwijdering.
- De cyste en de volledige cystewand worden verwijderd
- Ingrepen gebeuren via dagziekenhuis, onder locoregionale verdoving
Nabehandeling
- Direct bewegen van de vingers vanaf dag 1
- De wonde moet 2 weken droog blijven
- Wat zwelling, stijfheid of een harder litteken kan nog enkele maanden aanwezig zijn
- Oefeningen helpen de beweeglijkheid verbeteren
Extensorpeesletsel
Wat is het?
Een extensorpeesletsel is een scheur of doorsnijding van een strekpees. Dit kan ontstaan door:
- een snijwonde
- spontane peesscheuren bij reuma/artrose
- als complicatie na een polsbreuk
Klachten
- U kunt één of meerdere vingers niet meer actief strekken
Behandeling
Een gescheurde strekpees geneest niet spontaan.
Mogelijke behandelingen:
- Hechten van de peesuiteinden indien deze nog te approximeren zijn
- Peestransfer wanneer herstel niet mogelijk is (bv. bij teruggetrokken of slechte kwaliteit van pees) → een andere pees neemt dan de strekfunctie over
Nabehandeling
- Eerst een gipsspalk, na enkele dagen een oefenspalk op maat → beschermt de pees, maar laat gecontroleerde beweging toe
- Kinesitherapie start zo snel mogelijk na de operatie
Flexorpeesletsel
Wat is het?
Een flexorpeesletsel is een letsel van een buigpees in de hand, meestal door een scherpe wonde (mes, glas). Soms gebeurt het zonder wonde, wanneer de pees losscheurt van het bot (Jersey finger). Buigpeesletsels zijn ernstige letsels die nauwkeurige chirurgie en intensieve handrevalidatie nodig hebben.

Behandeling
Een gescheurde buigpees geneest niet vanzelf → altijd chirurgie nodig.
Mogelijke ingrepen:
- Hechten van de peesuiteinden indien deze nog te approximeren zijn
- Bij afscheuren aan het bot: pees terug vastzetten met een botanker
- Peestransfer wanneer herstel niet mogelijk is (bv. bij teruggetrokken of slechte kwaliteit van pees) → een andere pees neemt dan de strekfunctie over
Nabehandeling
- Eerst een gipsspalk, na enkele dagen een oefenspalk op maat → beschermt de pees, maar laat gecontroleerde beweging toe
- Kinesitherapie start zo snel mogelijk na de operatie
Zenuwletsel
Wat is het?
Een zenuwletsel is een beschadiging van een zenuw, die zorgt voor gevoel én spieraansturing. Zenuwen in de hand, pols en onderarm liggen oppervlakkig en zijn daardoor kwetsbaar.
Klachten
Zenuwuitval kan leiden tot:
- Gevoelsverlies (verminderd tastgevoel, moeilijkheden bij het vastnemen van voorwerpen, minder bescherming tegen hitte of scherpe voorwerpen)
- Krachtsverlies of verlamming van bepaalde spieren, met afwijkende stand van hand of vingers
Hoe hoger het letsel (dichter bij de schouder), hoe groter het functieverlies.
Behandeling
Letsels door druk herstellen meestal vanzelf.
Bij scherpe doorsnijding moet de zenuw idealiter binnen enkele dagen worden gehecht.
Als de zenuw niet meer te hechten valt, kan een zenuwgreffe of een peestransfer worden overwogen.
Nabehandeling
- Zenuwherstel is traag: ongeveer 1 mm per dag
- Roken, diabetes en hogere leeftijd vertragen het herstel
- Gevoel en kracht heeft maanden tijd nodig om te recuperen en soms herstelt het niet volledig.
Pols
De Quervain tendinitis
Wat is het?
De Quervain tendinitis is een ontsteking van de pezen aan de duimzijde van de pols. Ze ontstaat vaak door overbelasting of repetitieve bewegingen, en komt regelmatig voor na zwangerschap of bij postmenopauzale vrouwen. (Tekening)

Klachten
- Pijn en zwelling aan de duimzijde van de pols
- Toename van pijn bij heffen, wringen of draaien van de pols
- Pijn bij repetitief gebruik van hand en duim
Behandeling
Niet-chirurgisch
- Rust, eventueel met brace of gips
- Ontstekingsremmers
- Cortisone-inspuiting rond de pezen indien klachten aanhouden
Chirurgisch
Wanneer klachten ernstig blijven:
- Kleine ingreep in dagziekenhuis, onder plexusverdoving
- Het peescompartiment wordt geopend zodat de pezen weer vrij kunnen glijden
Nabehandeling
- Pols 2 weken immobiliseren in gips
- Daarna oefeningen voor duim en pols
Polsartrose & Pisiformetriquetrale artrose
Wat is het?
Polsartrose is slijtage van het kraakbeen in één of meerdere polsgewrichten. Dit kan ontstaan in het:
- Radiocarpale gewricht (hand–pols)
- Midcarpale gewrichten
- Pisiforme–triquetrum gewricht
- DRUJ (spaakbeen–ellepijp)
Oorzaken zijn vaak: doorgemaakte breuken of ligamentletsels, doorgemaakte infectie, reumatische aandoeningen.

Klachten
- Pijn, vooral bij bewegen of belasten
- Zwelling en roodheid van betrokken gewricht
- Stijfheid
- Verminderde kracht
Behandeling
Niet-chirurgisch
- Pols ontlasten (brace, aanpassing werk)
- Ontstekingsremmers
- Cortisone-injecties in het gewricht
Chirurgisch
De keuze hangt af van:
- plaats van artrose
- ernst
- leeftijd
- activiteitsniveau / beroep
- Scaphoidectomie + four-corner fusieHet scaphoid wordt verwijderd, vier polsbeentjes worden vastgezetOngeveer 45% beweeglijkheid en 80% kracht blijft behouden
- Proximale rij carpectomieVerwijderen van scaphoid, lunatum en triquetrumNieuwe scharnierfunctie tussen capitatum en onderarmResultaten vergelijkbaar met four-corner fusieSoms aangevuld met een resurfacing-prothese
- Totale polsartrodeseHele pols wordt vastgezetVingers kunnen wel nog bewegenGeschikt voor zwaar belastend werk
- PolsprotheseVervanging van het polsgewrichtBewegingsbeperking blijft, maar voldoende voor dagelijkse activiteitenBelasting moet beperkt blijven om vroegtijdige slijtage te voorkomen
- DRUJ-protheseVervanging van alleen het draai-gewricht tussen spaakbeen en ellepijp
- PisiformectomieVerwijderen van het os pisiforme bij pijn in dit kleine gewrichtGeen verlies van polsfunctie
🛈 Let op: na beide ingrepen kan na jaren opnieuw artrose ontstaan → soms later totale artrodese of polsprothese nodig.

Nabehandeling
- Elke ingreep vereist een periode van immobilisatie, afhankelijk van de techniek
- Meteen de vingers blijven bewegen
- Kinesitherapie is vaak nodig
- Revalidatie duurt gemiddeld 3 tot 6 maanden
Ulnair impactiesyndroom
Wat is het?
Normaal is de ellepijp (ulna) iets korter dan het spaakbeen (radius). Bij een ulnair impactiesyndroom is de ulna langer, wat zorgt voor extra druk op de polsbeentjes, vooral het lunatum. Dit kan aangeboren zijn of ontstaan na een polsbreuk.

Klachten
- Pijn bij belasten van de pols
- Pijn vooral aan de ulnaire zijde (kant van de ellepijp)
Behandeling
Niet-chirurgisch:
- Tijdelijke rust
- Brace
- Aanpassen van activiteiten
- Eventueel cortisone-infiltratie
Chirurgisch:
Wanneer klachten blijven:
- Verkorting van de ulna
- De ellepijp wordt doorgezaagd, verkort en opnieuw vastgezet met een plaat en schroeven
- Bij kleine correcties kan de verkorting gebeuren via een polsartroscopie (kijkoperatie van de pols)
- In dagziekenhuis, meestal onder plexusverdoving
Nabehandeling
- Gips of brace gedurende 2–6 weken
- Pas belasten wanneer het bot genezen is: → vroegst na 6 weken, soms pas na enkele maanden
- Mogelijke complicatie: non-union (bot groeit niet vast)
- De plaat wordt soms later verwijderd als ze hinder geeft
TFCC-letsel
Wat is het?
Het Triangular Fibrocartilage Complex (TFCC) is een soort meniscus van de pols. Het werkt als schokdemper tussen de onderarm en de polsbeentjes en bevat belangrijke stabiliserende ligamenten. Een TFCC-letsel kan ontstaan door:
- een val of plotse draaibeweging
- slijtage, o.a. door langdurige overdruk zoals bij een ulnair impactiesyndroom

Klachten
- Pijn aan de pinkzijde van pols en onderarm
- Pijn bij steunen, wringen of draaien
- Soms weinig klachten, afhankelijk van de grootte van de scheur
Behandeling
Niet-chirurgisch:
- Polsbrace bij belasting
- Ontstekingsremmers
- Eventueel cortisone-injectie
Chirurgisch:
Bij grote scheuren of blijvende klachten
- Kijkoperatie (arthroscopie) om de scheur te behandelen
- De scheur wordt bijgewerkt of gehecht, afhankelijk van de locatie
- In dagziekenhuis, onder plexusverdoving
Nabehandeling
Afhankelijk van het type scheur en behandeling
- Na hechting: brace tot over de elleboog; elleboog mag bewegen, maar pols mag niet draaien, plooien of strekken
- Na bijwerken: tijdelijke polsimmobilisatie voor max. 2 weken
Polsfractuur
Wat is het?
Een polsfractuur is een breuk van het uiteinde van de onderarmbeenderen, meestal van de radius, soms gecombineerd met een breuk van de ulna. De breuk ontstaat meestal door een val. Breuken kunnen:
- buiten het gewricht verlopen
- in het gewricht, vaak bij een zwaarder trauma (meervoudige stukjes, verbrijzeling)

Klachten
- Pijn en zwelling
- Soms een scheefstand van de pols
- Bij niet-verplaatste breuken zijn de klachten subtieler
Behandeling
De keuze hangt af van:
- ernst en type breuk
- leeftijd en algemene gezondheid
- al dan niet verplaatst
Niet-operatief
- Bij niet-verplaatste breuken: gips gedurende 6 weken, eventueel gevolgd door een polsbrace
- Bij kinderen met verplaatste breuken: breuk wordt onder verdoving rechtgezet (gesloten reductie) + gips
Operatief
Indien de breuk verplaatst is of onvoldoende stabiel:
- Pinnen (Kapandji-techniek): metalen pinnetjes door de huid, blijven 6 weken; risico op lichte inzakking
- Plaat en schroeven: meest gebruikte techniek; geeft meer stabiliteit en kortere gipsperiode; plaatje hoeft meestal niet verwijderd te worden
- Externe fixator: uitwendig frame, gebruikt bij open breuken
Alle ingrepen gebeuren via het chirurgisch dagziekenhuis, meestal onder plexusverdoving.

Nabehandeling
- Start mobilisatie afhankelijk van stabiliteit van de breuk en de fixatie
- Kinesitherapie niet altijd nodig, wordt op controle beslist
- Soms blijft er een beperking in het plooien en strekken van de pols, vooral bij complexe breuken
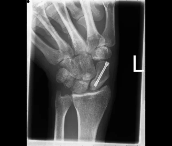
Scaphoidfractuur
Wat is het?
Het scaphoid is een handwortelbeentje aan de duimzijde van de pols. Een breuk ontstaat meestal door een val op de hand. Scaphoidbreuken geven soms weinig klachten, waardoor ze gemakkelijk gemist worden. Het scaphoid heeft een zwakke bloedvoorziening, vooral in de proximale pool. Hierdoor is er risico op:
- non-union/pseudartrose (breuk groeit niet aan elkaar)
- en hierdoor later artrose van de pols (SNAC-wrist)

Klachten
- Pijn aan de duimzijde van de pols
- Soms lichte zwelling
- Moeilijker bewegen van de pols
- Typisch: drukpijn in de anatomische snuifdoos (kuiltje naast de duim wanneer die gestrekt wordt)
Behandeling
Niet-operatief
- Enkel mogelijk bij stabiele, niet-verplaatste breuken
- Gipsimmobilisatie van de pols tot we heling zien van het scaphoid op beeldvorming
Operatief
Nodig bij:
- Proximale poolfracturen (slechte bloedvoorziening)
- Verplaatste breuken
- Non-union of malunion
Behandelingen:
- Schroeffixatie: vergroot de kans op genezing en verkort de gipsperiode
- Percutane techniek voor recente, niet-verplaatste breuken (klein sneetje)
- Open ingreep voor verplaatste breuken
- Bij non-union/malunion: aanvulling met botgreffe uit het bekken of het spaakbeen

Nabehandeling
- Bij gipsbehandeling: gips tot op RX/CT botheling zichtbaar is
- Na schroeffixatie: pols mag meestal vroeg bewogen worden, brace gebruiken bij zwaardere belasting
- Na behandeling van non-union: langere polsimmobilisatie nodig
Elleboog
Tenniselleboog (Laterale epicondylitis)
Omschrijving
Een tenniselleboog is een ontsteking van de strekpezen van de pols en vingers aan de buitenzijde van de elleboog. Dit geeft pijn bij grijpen en heffen. De aandoening ontstaat door overbelasting, niet alleen bij tennissers.

Klachten
- Pijn op het beenderige uitsteeksel aan de buitenkant van de elleboog
- Pijn bij strekken van pols of vingers tegen weerstand
- Last tijdens of na herhaald gebruik van arm en pols
Behandeling
- Tijdelijke rust en aanpassen van activiteiten
- Tenniselleboogband of nachtbrace pols om spanning op de pezen te verminderen
- Kinesitherapie met stretching, diepe fricties en spierversterking
- Cortisone-inspuiting bij aanhoudende klachten
- Shockwave-therapie (ESWT) / PRP behandeling kan extra verlichting geven
Indien de klachten blijven bestaan:
Operatie waarbij het ontstoken peesweefsel wordt verwijderd en de aanhechting van de strektpezen wordt ontlast
Nabehandeling
Na een ingreep wordt de elleboog geleidelijk gemobiliseerd. Zware krachtinspanningen worden enkele weken vermeden.
Golferselleboog (Mediale epicondylitis)
Omschrijving
Een golferselleboog is een ontsteking van de buigpezen aan de binnenzijde van de elleboog, meestal door overbelasting of repetitieve bewegingen.

Klachten
- Pijn en zwelling aan de binnenkant van de elleboog en voorarm
- Pijn bij tillen of bij polsbuiging tegen weerstand
- Soms tintelingen in ringvinger en pink door zenuwirritatie
Behandeling
- Rust, ijs en ontstekingsremmers
- Kinesitherapie: stretching, fricties, spieropbouw
- Cortisone-inspuiting bij onvoldoende verbetering
- Chirurgie bij blijvende klachten, waarbij ontstoken peesweefsel wordt verwijderd
Nabehandeling
Na een ingreep wordt de elleboog geleidelijk gemobiliseerd. Zware krachtinspanningen worden enkele weken vermeden.
Cubital tunnel syndroom
Omschrijving
Bij dit syndroom komt er te veel druk op de nervus ulnaris aan de binnenzijde van de elleboog.

Klachten
- Tintelingen of doofheid in pink en ringvinger
- Verergering klachten bij leunen op de elleboog of langdurig plooien (telefoon, slapen)
- Soms krachtsverlies /onhandigheid in de hand
Behandeling
- Aanpassen van houding en activiteiten
- Nachtspalk om buigen van de elleboog te vermijden
- Bij ernstige of blijvende klachten: operatie om druk van de zenuw weg te nemen; soms wordt de zenuw verplaatst naar de voorzijde van de elleboog
Nabehandeling
Korte immobilisatie van de elleboog, na aantal dagen mobiliseren op geleide van pijn. Het herstel van de zenuw kan enkele maanden duren en hangt af van de ernst van het letsel.
Elleboogartrose
Omschrijving
Elleboogartrose is slijtage van het kraakbeen, wat leidt tot ontsteking en pijn in de elleboog.

Klachten
- Pijn en zwelling
- Stijfheid en verminderde beweeglijkheid van de elleboog
- Soms nachtelijke pijn
Behandeling
- Pijnstillers, ontstekingsremmers, aanpassen activiteit/belasting van de elleboog
- Cortisone-inspuiting
Bij ernstige slijtage:
- Elleboogprothese
- Of radiuskopprothese wanneer slechts een deel van het gewricht is aangetast

Nabehandeling
Korte immobilisatie, daarna progressieve mobilisatie en vaak kinesitherapie. Revalidatie: 3 tot 6 maanden. Protheses geven meestal goede pijnverlichting; beweeglijkheid verbetert in mindere mate.
Bursitis olecrani
Omschrijving
Achteraan de elleboog ligt een slijmbeurs die werkt als een kussentje tussen huid en bot. Door druk of wrijving kan deze slijmbeurs irriteren en ontsteken. Soms raakt ze geïnfecteerd.

Klachten
- Zwelling achteraan de elleboog
- Soms roodheid, warmte en pijn
- Koorts of uitbreidende roodheid naar bovenarm/onderarm → meteen arts contacteren
Behandeling
- Rust, ijs en druk op de elleboog vermijden
- Bij infectie: antibiotica en eventueel operatie
- Bij blijvende of ernstige zwelling: operatie om de slijmbeurs te ledigen of te verwijderen
Nazorg
Er wordt een drukverband aangelegd om nabloeding te beperken. Soms tijdelijk gips.
Distale bicepspeesruptuur
Omschrijving
Bij dit letsel scheurt de bicepspees los in de elleboogplooi, op de plaats waar ze aan het spaakbeen vastzit. Dit gebeurt meestal bij een plotse beweging van de elleboog.

Klachten
- Plots scherpe pijn, soms hoorbaar “knap”-geluid
- Blauwe verkleuring rond de elleboog
- Buigen of draaien van de onderarm (handpalm omhoog) is moeilijk of pijnlijk
- Na enkele weken vooral blijvend krachtsverlies
Behandeling
Zonder operatie blijft er dikwijls permanent krachtverlies, vooral bij buigen van de elleboog en bij draaiende bewegingen. Daarom wordt bij jongere of actieve patiënten een operatie aangeraden:
- De pees wordt opnieuw vastgehecht aan het bot
- Ingreep gebeurt in dagziekenhuis onder algemene verdoving
Nazorg
De stevige fixatie laat meestal toe om de elleboog snel weer te bewegen.
Onze locaties
Het handcentrum kan u vinden op verschillende locaties. Naast de vestiging in het Sint-Augustinus ziekenhuis te Wilrijk, kan u ook terecht in een van onze privé raadplegingen. Op alle locaties bieden wij u dezelfde gespecialiseerde zorg en staat ons professioneel team voor u klaar. Op de privé praktijk vinden naast de consultaties ook kleine ingrepen onder lokale verdoving plaats.
ZAS Augustinus
Addres:Campus Sint-Augustinus
Oosterveldgebouw - route 13 – 1e verdiep
Oosterveldlaan 24 - 2610 Wilrijk
T. 03 443 43 47


Privé praktijk Putte
Addres:Mechelbaan 511 A/02
2580 Putte (Mechelen)
T. 015 34 38 61
